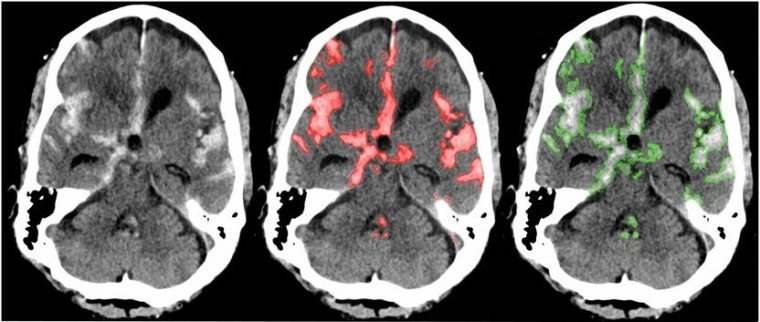
Nhóm các chuyên gia nghiên cứu y học từ hai trường đại học lớn ở Mỹ là University of California, Berkeley và University of California, San Francisco (UCSF) đã đào tạo ra một mạng neuron thần kinh tích chập (convolutional neural network) có tên PatchFCN. Hệ thống này có khả năng phát hiện tình trạng xuất huyết não với độ chính xác cao.
Trong những năm gần đây, công nghệ học sâu (deep learning) đã phát triển mạnh và có nhiều ứng dụng thực tiễn trong đời sống và cả y học. Nhóm nghiên cứu cho biết họ đã sử dụng kết hợp mạng neuron thần kinh một giai đoạn (single-stage), đầu cuối (end-to-end) và đầy đủ (fully) để đào tạo nên hệ thống chẩn đoán có độ chính xác tương đương với các bác sỹ X-quang có chuyên môn cao. PatchFCN có thể xác định và định vị được những bất thường trong bộ não mà nhiều bác sĩ X-quang vô tình bỏ qua.

Kết quả thử nghiệm đạt độ chính xác đến 99%, cao nhất từ trước đến nay trong lĩnh vực chẩn đoán và phát hiện xuất huyết não. Trong một số trường hợp, hiệu quả chẩn đoán của hệ thống mạng neuron thần kinh nhân tạo còn vượt trội hơn so với các bác sĩ dày dạn kinh nghiệm.
PatchFCN được đào tạo trên bộ dữ liệu gồm hơn 4.000 phim chụp CT từ những bệnh viện liên kết với UCSF, thông qua trung tâm dữ liệu GPU Nvidia V100 Tensor Core và nền tảng Amazon Web Services.
Việc đào tạo và phân tích được thực hiện theo phương pháp mới. Nhóm nghiên cứu đã chia dữ liệu phim chụp CT thành từng phần rồi tiến hành phân tích bằng PatchFCN. Sau đó, họ lại thử nghiệm với những kích cỡ khác nhau của từng phần để tăng độ chính xác của mô hình.
Theo các chuyên gia, trong mô hình đào tạo, mỗi phim chụp CT được phân tích chỉ trong vòng vài giây. Sau đó, hệ thống sẽ đưa ra chẩn đoán về nguy cơ xuất huyết não, thông tin chi tiết và đo lường mỗi lần xuất huyết (nếu có).
Các nhà nghiên cứu hy vọng PatchFCN có thể trở thành ứng dụng quan trọng trong tương lại. Mô hình này không chỉ hỗ trợ chẩn đoán mà còn giảm bớt áp lực cho các bác sĩ X-quang, từ đó nâng cao năng suất và hiệu quả làm việc của họ.












